Especialidades
Implantodontia
Especialidade que tem como objetivo a implantação na mandíbula e na maxila, de materiais aloplásticos (os implantes) destinados a suportar próteses unitárias, parciais, totais, removíveis ou fixas.
Implantes Osseointegrados
(nacionais e importados)
Cirurgias Avançadas de Enxertos Ósseos
(levantamento de seio maxilar, enxertos em bloco, etc)

Prótese Dental
Especialidade que tem como objetivo o restabelecimento e a manutenção das funções do sistema estomatognático, visando a proporcionar conforto, estética e saúde pela recolocação dos dentes destruídos ou perdidos.
Próteses Unitárias e Múltiplas de
Cerâmica ou Resina
Próteses Fixas, Removíveis e Totais
Próteses sobre Implantes
(protoloco, overdenture e unitárias)


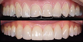
Dentística/Estética
Especialidade que tem como objetivo o estudo e a aplicação de procedimentos educativos, preventivos, operatórios e terapêuticos para preservar e devolver ao dente integridade de sua anatomia, função e estética.
Restaurações Estéticas de Resina Composta
"Lentes de Contato" Cerâmicas
Onlay / Inlay de Resina ou Cerâmica
Clareamento Dental
Estética do Sorriso

Cirurgia Oral
Especialidade que tem como objetivo o diagnóstico e o tratamento cirúrgico e coadjuvante das doenças, traumatismos, lesões e anomalias congênitas e adquiridas do aparelho mastigatório, anexos e estruturas crânio-faciais associadas.
Extrações Simples e de Dentes Inclusos
Enxertos Ósseos
Cirurgia para Tracionamento Ortodôntico
Cirurgia para Correções Protéticas

Periodontia
Especialidade que tem como objetivo o estudo, o diagnóstico, a prevenção e o tratamento das doenças gengivais e periodontais, visando à promoção e ao restabelecimento da saúde periodontal.
Raspagem e Alisamento radicular
Cirurgias e Enxertos gengivais
Recobrimento de Retrações Gengivais
Plásticas Gengivais (estética vermelha)


dentista em sorocaba - implante dentario - harmonizaçao facial - clareamento dental - tratamento do ronco - dentista limpeza - dentista bruxismo - preenchimento facial - acido hialuronico